Contactez-nous :
450 768-6209
ou
écrivez-nous
- Denturologie -
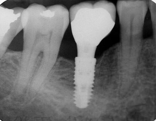
Avantages de l'implant dentaire
Un implant dentaire ou ancrage dentaire est un dispositif médical — sorte de vis en titane ou zircone ou polymère — inséré dans le maxillaire ou la mandibule et destiné à créer un ancrage capable de recevoir une prothèse dentaire amovible ou fixée.
Les prothèses sur implants sont plus confortables et discrètes que les prothèses amovibles, elles préservent par ailleurs l'os de la mâchoire et gardent saine la denture existante. La pose d'un bridge (sorte de « pont » entre deux dents), notamment, nécessite de tailler les dents adjacentes pour lui servir de support, donc une partie de l'émail. Autre inconvénient, l'os autour de la dent manquante va se résorber progressivement. Enfin, par rapport à une prothèse amovible, on note un meilleur confort, une meilleure fonctionnalité, voir, pour la prothèse complète amovible, une stabilité et une mastication normale, ainsi qu'une sensation d'appartenance.
Des soins dentaires à la fine pointe de la technologie sont offerts à Cuba.
Pendant mon séjour je suis allée visiter la clinique dentaire de La Havane . Des gens merveilleux nous ont accueillis. J'ai moi-même eu la chance de faire des examens avec une des spécialistes et je suis très satisfaite. Les implants sont offerts à une fraction du prix. Les standards de stérilisation sont aussi élevés que ceux d’ici, aucune crainte à avoir. On serait fou de ne pas en profiter en même temps que de petites vacances à Cuba!




